About Wrist & Hand Conditions
The wrist and hand play a vital role in daily activities and fine movements. Injuries, nerve compression, arthritis, or repetitive strain can lead to pain and weakness. Early evaluation and appropriate treatment help prevent long-term disability and improve hand function.
The wrist and hand are essential for almost every daily activity, from writing and lifting to typing and gripping. When pain, stiffness, or injury affects this part of the body, even simple tasks can become difficult. Our orthopedic center in Mumbai offers specialized Wrist and Hand Treatment services designed to diagnose and manage a wide range of conditions that affect mobility and function. Our goal is to help each patient regain comfort, strength, and ease of movement through expert evaluation and personalized care.
Wrist and hand problems can occur due to injury, repetitive strain, age related changes, or underlying medical conditions. Early diagnosis is important to avoid long term damage and ensure effective treatment.
Conditions We Treat

Carpal Tunnel Syndrome
Nerve compression causing numbness and weakness.

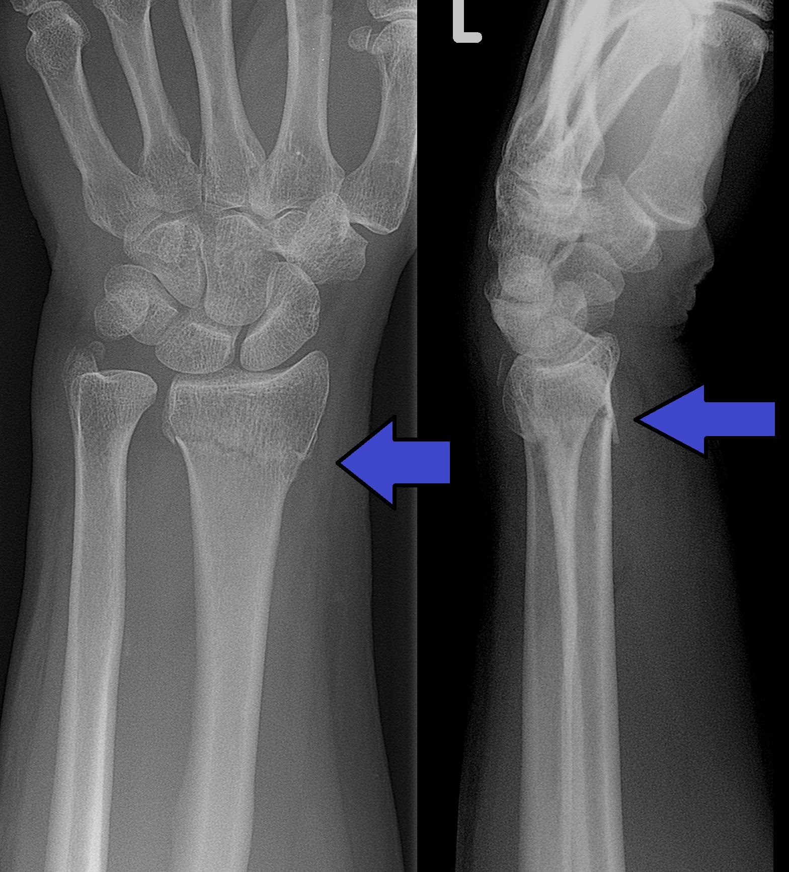
Wrist Fractures
Bone injuries due to falls or accidents.

Tendon Injuries
Damage affecting finger and wrist movement.

Trigger Finger
Finger locking or pain during movement.

Arthritis of Hand & Wrist
Joint degeneration causing stiffness and pain.

Ganglion Cysts
Fluid-filled swelling around the wrist or hand.
Evaluation & Diagnosis
Accurate diagnosis is essential for effective wrist and hand treatment. Our orthopaedic specialist assesses pain, movement, grip strength, nerve function, and joint stability to identify the underlying condition.
A detailed assessment helps us understand the root cause of wrist or hand pain. During the evaluation, our orthopedic specialist examines joint movement, grip strength, swelling, tenderness, and other symptoms. When necessary, imaging tests such as X rays or scans may be recommended to confirm the diagnosis and guide the treatment plan.This thorough approach ensures accurate identification of the problem and supports effective treatment planning.
Treatment Options for Wrist & Hand Conditions
Non-Surgical Treatment
->Rest & activity modification ->Physiotherapy ->Medication & injections ->Activity modification
Surgical Treatment
-> Carpal tunnel release ->Tendon repair ->Fracture fixation ->Hand and wrist surgery
Rehabilitation & Recovery
-> Post-treatment physiotherapy ->Strength & mobility exercises ->Long-term joint care
Why Choose Us for Hand and Wrist care
Accurate diagnosis, advanced treatment options, and personalised care focused on relieving pain and restoring comfortable movement.
Expertise in hand and wrist care
Extensive experience in diagnosing and treating a wide range of Wrist & Hand conditions with precision and care.
Advanced diagnostic approach
Use of modern imaging and clinical evaluation to ensure accurate diagnosis and effective treatment planning.
Personalized Treatment Plans
Each patient receives a customized treatment approach based on their condition, lifestyle, and recovery goals.
Focus on complete hand function recovery
Treatment aimed at pain relief, stability, and long-term movement.
F.A.Q.
Wrist and hand pain can occur due to injuries, fractures, repetitive strain, arthritis, nerve compression such as carpal tunnel syndrome, or tendon inflammation. Daily activities, sports injuries, or accidents can also lead to pain and stiffness.
You should consult a doctor if the pain lasts more than a few days, increases with movement, is associated with swelling or deformity, or if you experience numbness, tingling, or weakness in your fingers.
Common conditions include carpal tunnel syndrome, tendonitis, wrist sprains, fractures, trigger finger, arthritis, ligament injuries, and sports-related wrist or hand injuries.
Diagnosis usually involves a physical examination along with imaging tests such as X-rays, MRI, or CT scans to identify fractures, ligament injuries, nerve compression, or joint problems.
Yes, many wrist and hand conditions can be treated without surgery. Non-surgical treatments include medications, splints or braces, physiotherapy, activity modification, and injections to reduce pain and inflammation.
Surgery is recommended only when conservative treatments fail or in cases of severe fractures, nerve compression, ligament tears, or advanced arthritis affecting hand function and daily activities.
Recovery time depends on the condition and treatment. Minor injuries may heal within a few weeks, while fractures or surgical cases may require several weeks to months along with physiotherapy for full recovery.
Yes, physiotherapy plays a key role in restoring strength, flexibility, and movement after wrist or hand injuries. It also helps reduce pain and prevents stiffness during recovery.
Restore Hand Strength and Movement
Expert care for wrist and hand pain using modern orthopaedic techniques.
Book your consultation today for safe and effective treatment.
